Conductometría Digital

Conductometría digital en quito ecuador

Conductometría digital

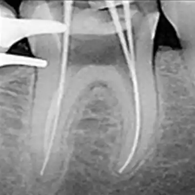
Examen orientado a medir la distancia entre una referencia coronal y el límite apical de la preparación del conducto, guiado por su recorrido y respetando su anatomía.

Funcionalidad:

Este tipo de radiografía lateral de cráneo está indicada en los siguientes casos:

  • =Establecer la longitud de trabajo en procedimientos endodónticos
  • =Verificar estructura anatómica de conductos radiculares
  • =Correcciones generales

Precio Global Imagen: $13